포인트 랭킹

  • 1 새알 69,900P
  • 2 꽁초 60,100P
  • 3 파텍필립 38,800P
  • 4 jhgh 35,300P
  • 5 용콩별콩 25,400P
  • 6 흙먹는사람 21,800P
  • 7 Yjkkhh4806 15,000P
  • 8 martian 14,000P
  • 9 광안리 12,300P
  • 10 마이구마이구 11,100P

 

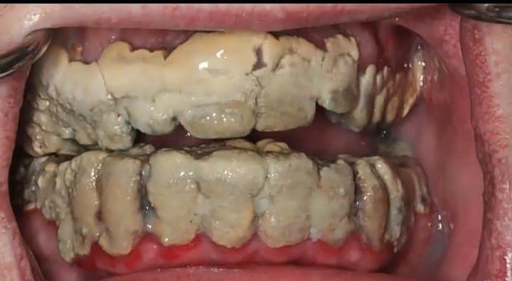
혐주의) 평생 양치질 안해 본 사람의 치아 상태

갓파
2026-03-20 11:40
581 0

 



 
제목

 

영문 소문자, 숫자만 입력가능합니다. 최소 3자 이상 입력하세요

최소 3자 이상 입력하세요

없으면 생략가능

가입취소